お問い合わせが多いので再アップします。
ウサギは子宮腺癌(子宮内膜癌)
の発生率が非常に高く、
女の子のウサギさんにとっては
ほぼ逃げられぬ宿命といってもいいくらいです。
子宮腺癌を発症した場合、大体1-2年で亡くなるといわれています。
よって麻酔リスクはあるものの
避妊手術をおすすめするわけですが
病院によって手術の「流れ」というのはだいぶ異なります。
避妊手術について、
どのような流れになるのか
診察時に全てを説明し尽くすことは
難しいので当院での大まかな流れを
ここで説明しておきます。
(写真はいろんな子のものが混在してます)
まずは朝9時にお預かり。
ここで麻酔リスクの説明などをし
同意書をいただきます。
飼い主さんはこの後は帰宅していただきます。
お預かりしてすぐ血液検査。
ウサギさんは後肢の静脈
もしくは耳の動脈から採血します。
どちらが良いかはその子の性格次第です。
血球計算と血液化学検査、
そして血液凝固検査を行います。
血球は白血球の分類まで一応しておきます。
化学検査は
腎臓 肝臓 血糖値 中性脂肪などをみます。
凝固検査は血が固まる能力があるかの検査です。
血が固まらない子はごくごく稀ですが
少しでも減らせる手術のリスクを減らすためです。
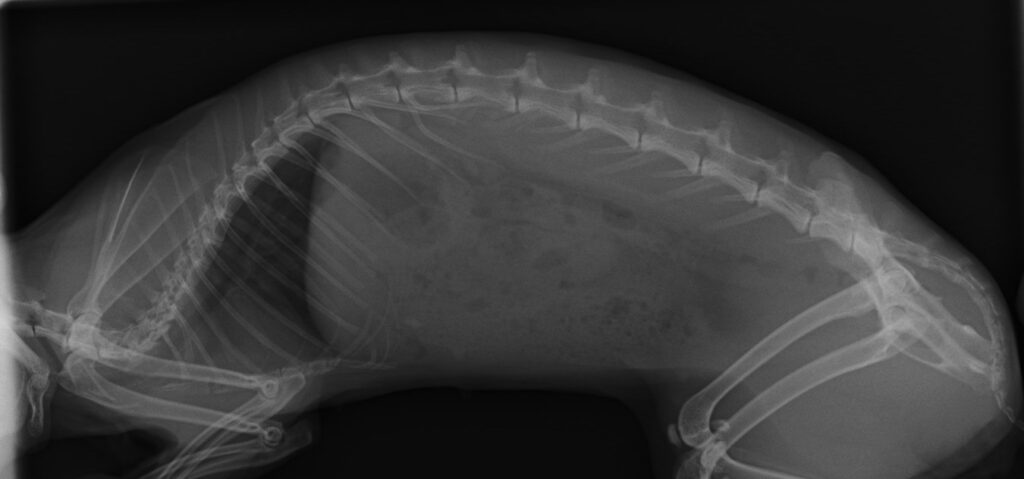
そしてレントゲンです。
前後と左右、二方向撮影します。
心臓の大きさ 肺が白くないか
骨格異常がないか 消化管ガスはないか
何か他に映ってないか
チェックします。


三歳を超えていたり
すでに子宮疾患がある場合は
腹部超音波検査などが入ります。
検査に異常がなければ
酸素室に入ってもらい、
鎮静剤をかけます。
鎮静剤が効いてきたら
耳の血管に留置針を設置します。

これで直接血管にアクセス出来るようになり
点滴はもちろんですが
緊急時に薬を迅速に投与できます。
また術中に
鎮痛剤などを追加する時も便利です。
麻酔ボックスに入ってもらい、
十分に酸素を嗅がせたのち
そのまま麻酔ガスを流していきます。

10-15分程度で完全に麻酔がかかり寝ます。
すぐに心電図やSPO2などの
生体モニターを取り付け
先程の留置針から点滴を流していきます。
さらに
何かの原因(原因が全く不明のこともある)
で自発呼吸が停止した時に
補助呼吸を入れられるように、
ラリンゲルマスクという特殊なチューブを
設置します。
さらにこれで呼吸やCO2がはかれるようになります。突然の呼吸停止にも対応できるようになるわけです。

ここまでしてやっと麻酔がかかって安定した状態です。
ここから毛をバリカンで刈り、
毛をテープで避けたのち
消毒を数回行い、
これで手術がスタートできます。

手術というのは手術そのものより
術前の準備段階がかくに面倒なものなのです。
続く


